
El panorama político en Carolina del Norte ha sufrido una revolución en los últimos meses, la legisladora Tricia Cotham anunció su salida del Partido Demócrata para pasarse a las filas republicanas, lo que hizo que los republicanos disfrutaran de mayoría cualificada para anular los vetos del gobernador demócrata Roy Cooper, y otorgando al Partido Republicano la posibilidad de aprobar leyes que luchan contra la cultura woke que los demócratas quieren imponer en Estados Unidos.
De esta forma, Carolina del Norte aprobó hace unas semanas la Ley de Igualdad en los Deportes Femeninos y la Ley de Transparencia Atlética Escolar, con las que se busca impedir a las mujeres transgénero que jueguen en equipos deportivos femeninos en las escuelas secundarias del estado.
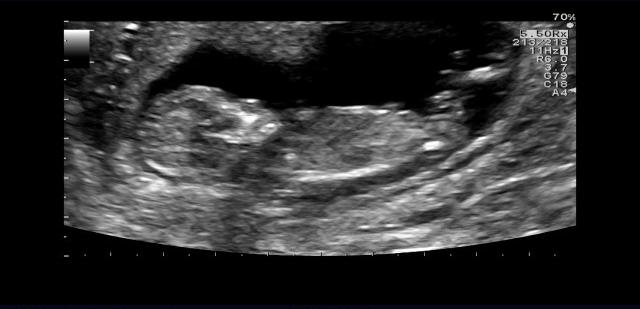
Y continuando la revolución, el Estado acaba de aprobar la prohibición del aborto a partir de la semana 12 de embarazo, como han hecho otros muchos Estados en el país.
El presidente, Joe Biden, y la vicepresidenta, Kamala Harris han prometido que lucharán contra estas normas, y la portavoz Karine Jean Pierre se ha unido a las críticas de sus jefes de fila: "(A las mujeres) se les ha rechazado en urgencias, se les ha obligado a viajar cientos de kilómetros para recibir atención y se les ha dejado con complicaciones que amenazan su capacidad para tener hijos en el futuro".
El gobernador de Carolina del Norte ha prometido utilizar su veto para que la norma no se promulgue, pero la mayoría en la Cámara no le permitirá hacerlo. Cooper ha denunciado que esta norma "restringe el acceso sanitario de las mujeres", y ha criticado el texto porque, entre otras cosas, establece la obligatoriedad de hacer tres visitas a una clínica antes de que se permita el aborto. ¿Cuál es el 'problema' de las tres visitas? Pues que en tres ocasiones una madre va a tener que ver esta imagen de su hijo, y claro, cuando lo ves y lo oyes, no abortas, algo que no puede permitirse.










