
Vivimos en una sociedad cada vez más globalizada. Cambiar de país, incluso de continente, es más accesible que nunca, y si no queremos hacerlo físicamente, las nuevas tecnologías han derribado las fronteras de la comunicación. Las ventas son innumerables, pero también conlleva inconvenientes. En el mundo de la salud, las enfermedades infecciosas tampoco tienen límites como pudimos ver hace unos años con el virus del Ébola, que causó una situación de alarma nacional tras el primer contagio en España de una enfermedad que por el momento era exclusiva del continente africano. Pero no es la única. La enfermedad de Chagas es una dolencia inflamatoria e infecciosa producida por un parásito llamado Trypanosoma Cruci.
Es frecuente desde el Sur de EEUU hasta el norte de Chile y Sur de Argentina, encontrando la mayor prevalencia de la enfermedad en Bolivia, Argentina y Paraguay. En el año 2006 se calculaba que existían 8 millones de infectados y que se podían producir unas 12.500 muertes al año por esta enfermedad debido al daño cardiaco que produce (miocardiopatía, insuficiencia cardiaca y arritmias).
Como consecuencia de la inmigración que procede de zonas donde la enfermedad es endémica, los expertos están observando un aumento de casos
En España, en cambio, hasta el momento tan solo se atendían casos “importados” de otros países pero, como consecuencia de la inmigración creciente que procede de zonas donde la enfermedad es endémica, los expertos están observando un aumento de casos de enfermedad de Chagas congénita en nuestro país.
La forma más común de transmisión es por picadura del insecto y se propaga a las personas cuando un insecto infectado (chinche negra o vinchuca), deposita heces en la piel y dicha persona se frota las picaduras, por lo que se introduce las heces en la herida. Una opción que de momento no se produce en España dado que estos insectos solo están en países endémicos, aclara el doctor Ángel Lorenzo Álvarez, ginecólogo especialista en diagnóstico prenatal de la Unidad de la Mujer del Hospital Ruber Internacional, en Madrid.
Otra de las transmisiones puede ser a través de las madres embarazadas a su futuro hijo. En este sentido, el Dr. Ángel Lorenzo explica que el parásito llega al feto por diseminación sanguínea atravesando la placenta e incluso puede ser causa de aborto, muerte fetal intrauterina, bajo peso al nacimiento y prematuridad. Las transfusiones sanguíneas o donación de órganos procedentes de personas infectadas pueden ser otras maneras de propagación así como por ingestión de alimentos contaminados con material fecal de los insectos.
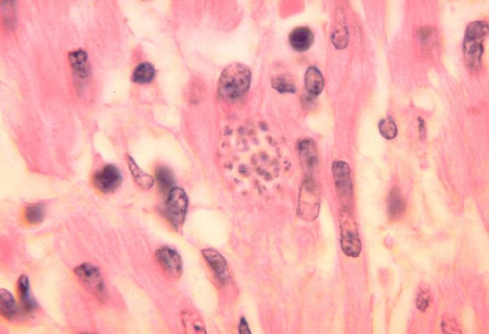
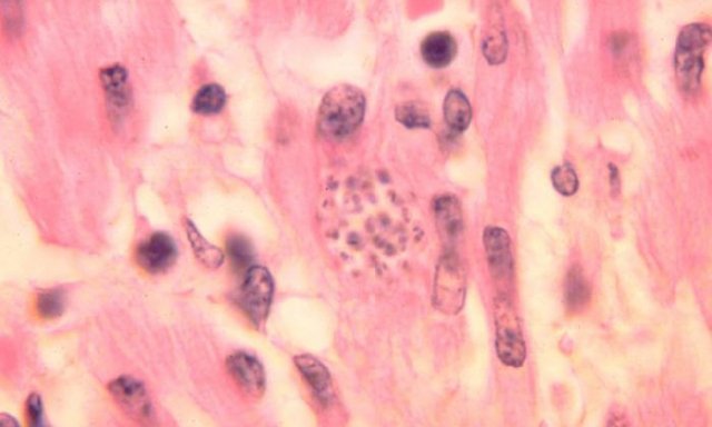
El diagnóstico de la enfermedad de Chagas se realiza en el laboratorio a través de un estudio del frotis sanguíneo
“Cuando el parásito entra en el torrente sanguíneo, puede cursar de modo asintomático o se manifiesta con fiebre, fatiga, dolor de cabeza, pérdida de apetito, náuseas, diarrea o vómitos, aumento de tamaño del hígado y bazo o aparición de una lesión cutánea llamada chagoma”, asegura Ángel Lorenzo.
Tras esta fase inicial, los infectados pueden estar asintomáticos varios años después de la infección o incluso pueden no manifestarse, pero el 30-50% evolucionan de forma crónica.
El diagnóstico de la enfermedad de Chagas se realiza en el laboratorio a través de un estudio del frotis sanguíneo y con el microscopio se detecta la presencia del parásito en sangre.
La importancia del cribado en el embarazo
La manera en la que puede aparecer esta enfermedad es debido a la inmigración procedente de Hispanoamérica. Para el ginecólogo Ángel Lorenzo, “en España, las mujeres embarazadas infectadas procedentes de estos países, se encuentran en la etapa crónica de la infección. El diagnóstico, manejo y tratamiento de esta población permitirán controlar y reducir la transmisión madre-hijo. Por ello, el cribado de la enfermedad de Chagas en gestantes procedentes de estos países, es fundamental para realizar un diagnóstico precoz de la infección congénita, y así poder realizar el tratamiento a estos recién nacidos que puedan evitar las graves secuelas”.
La efectividad del tratamiento frente al parásito (benznidazol, nifurtimox) depende de la rapidez con que éste se inicie
La enfermedad de Chagas congénita suele ser más grave en los lactantes. Para el doctor Ángel Lorenzo hay varios signos clínicos, “prematuridad o bajo peso, síndrome con afectación de hígado y bazo, fiebre, edemas e ictericia, afectación cerebral, meningitis, cursando con convulsiones, rigidez y vómitos. No suele observarse afectación cardiaca”.
La efectividad del tratamiento frente al parásito (benznidazol, nifurtimox), -continua este especialista-, depende de la rapidez con que éste se inicie, siendo más efectivo cuando comienza durante los primeros meses de vida. Está contraindicado durante el embarazo dado que provoca malformaciones fetales. Se ha comprobado la transmisión del parásito a través de la leche materna, por lo que estaría contraindicada la lactancia. El tratamiento en la fase aguda ha demostrado reducir la severidad de la enfermedad, pero no tiene gran impacto sobre la progresión a la fase crónica.
Contenido patrocinado por: Quirónsalud









