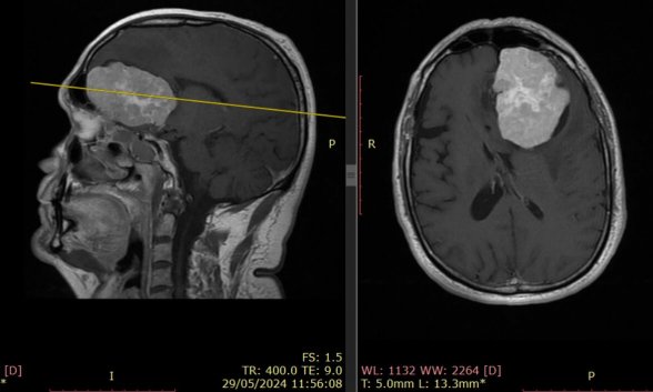
Los tumores cerebrales se han convertido en uno de los mayores desafíos para la neurología moderna. Su complejidad, la variedad de formas clínicas y la agresividad de algunos tipos los sitúan como una prioridad médica y científica. Se clasifican según su origen celular, localización, comportamiento clínico y grado de malignidad. Entre los más frecuentes están los gliomas y los meningiomas.
El Dr. Jorge Torales, neurocirujano del Hospital El Pilar y experto en tumores del ángulo pontocerebeloso como el neurinoma del acústico, explica: "Los gliomas son los tumores cerebrales primarios más frecuentes, entre el 30 % y 40 % de los casos, y el glioblastoma multiforme (GBM) es el más agresivo de todos".

Los gliomas nacen en las células gliales, que dan soporte a las neuronas, y tienen una gran capacidad de infiltración en el tejido cerebral, lo que dificulta su extirpación completa. Por su parte, los meningiomas se desarrollan en las meninges —las membranas que recubren el cerebro y la médula espinal— y, aunque suelen ser benignos, pueden provocar síntomas importantes según su tamaño y ubicación. Suponen entre el 30 % y el 35 % de los diagnósticos.
Avances clave en diagnóstico y tratamiento
Ante este panorama, la ciencia ha intensificado sus esfuerzos para mejorar el diagnóstico y tratamiento de estos tumores. Uno de los grandes avances ha sido la incorporación de técnicas de imagen y cirugía de alta precisión. Gracias a la neuroimagen avanzada, la navegación quirúrgica y la cirugía guiada por fluorescencia, hoy es posible localizar el tumor con gran exactitud y extirparlo minimizando daños en el tejido sano. Esto ha reducido riesgos y mejorado la calidad de vida de los pacientes operados.
Los gliomas nacen en las células gliales, que dan soporte a las neuronas, y tienen una gran capacidad de infiltración en el tejido cerebral, lo que dificulta su extirpación completa. Por su parte, los meningiomas se desarrollan en las meninges y, aunque suelen ser benignos, pueden provocar síntomas importantes
También la inmunoterapia se posiciona como una alternativa a los tratamientos clásicos. Aunque aún en fase experimental para muchos tumores cerebrales, los primeros resultados son alentadores, especialmente en casos recurrentes o resistentes. Este enfoque activa el sistema inmunológico del paciente para atacar las células tumorales.
Otra vía prometedora es la terapia con células CAR-T, que modifica los linfocitos T del paciente para que reconozcan y destruyan las células del tumor. Aunque su eficacia está más probada en leucemias, se está estudiando su uso en tumores sólidos como los cerebrales, con buenos indicios en ensayos clínicos.
La investigación en virus oncolíticos también avanza. El adenovirus Delta24-RGD, modificado para atacar solo células tumorales, se está probando en glioblastomas con resultados prometedores. Esta técnica no solo destruye directamente las células cancerígenas, sino que también estimula una respuesta inmune.
Otras técnicas
Otra técnica experimental en desarrollo es la terapia de captura de neutrones de boro (BNCT), que combina compuestos con boro y haces de neutrones para producir una reacción nuclear que destruye selectivamente células tumorales. Su potencial es alto para tumores difíciles de operar.
Por último, la inteligencia artificial ha comenzado a transformar el diagnóstico. Herramientas como la Deep Glioma permiten clasificar de forma rápida y precisa ciertos gliomas mediante imágenes ópticas tomadas durante la cirugía, sin necesidad de biopsias. Esto facilita tratamientos más personalizados y precisos.
Gracias a la neuroimagen avanzada, la navegación quirúrgica y la cirugía guiada por fluorescencia, hoy es posible localizar el tumor con gran exactitud y extirparlo minimizando daños en el tejido sano. Esto ha reducido riesgos y mejorado la calidad de vida de los pacientes operados
Todos estos avances muestran el compromiso de la comunidad científica y médica frente a uno de los retos más complejos de la neurología. Aunque aún queda camino, el desarrollo tecnológico y la medicina personalizada están abriendo nuevas esperanzas para los pacientes.
El Dr. Torales lo resume en pocas frases: "En los últimos años, la tecnología ha revolucionado el tratamiento de los tumores cerebrales. Herramientas como la neuronavegación, la cirugía endoscópica y la radiocirugía han permitido procedimientos más seguros y menos invasivos. Además, los estudios genéticos ayudan a personalizar los tratamientos según las características del tumor". En resumen: la frontera entre lo posible y lo imposible en este campo se redefine día a día.
Contenido patrocinado por: Quironsalud










